Клінічна картина. Відповідно до патофизиологическими особливостями клініка мієломної хвороби характеризується симптомами ураження наступних систем: кісткової, кровотворної, обміну речовин, нирок. В залежності від переважання тих чи інших особливостей захворювання запропоновано (Р. А. Алексєєв) розрізняти такі клінічні форми мієломної хвороби: оссальгическую, анемическую, ниркову, гарячкове, лейкемическую. Клінічні варіанти М. б. можуть поєднуватися або чергуватися.
Зміни в кістках пов'язані з механічною узурой, заподіюваного кісткової тканини миеломными розростаннями. Ці зміни досягають найбільшої інтенсивності при вузлуватої формі М. б. Уражаються плоскі і короткі кістки (череп, грудина, ребра, хребці, а також епіфізи довгих кісток), що містять діяльний червоний кістковий мозок. Болі в кістках у початковому періоді можуть бути нерізко виражені. В подальшому вони набувають більш інтенсивний характер. Раптова поява різких болів у якому-небудь відділі скелета, що вказує на втягнення в деструктивний процес окістя, нерідко передує або супроводжує перелому кістки. Найчастіше біль локалізується в попереково-крижовій частині хребта або в грудній клітці, змушуючи хворих лежати нерухомо, уникати найменших рухів. Руйнування хребців і ребер призводить до деформації грудної клітки. Нерідко спостерігаються явища компресії спинного мозку: параплегия і порушення функції тазових органів. Вельми характерні дані рентгенографії кісток, особливо картина «дірявого черепа». Безпосереднім результатом ураження кісток є порушення кальцієвого обміну, в першу чергу випадання кальцієвих конкрементів у нирках.
Зміни білкового обміну виражаються в гиперпротеинемии (до 10-15% білка і вище) з появою патологічних білкових тіл - парапротеинов. Гіперпротеїнемія обумовлює характерну для мієломної хвороби різко прискорену ШОЕ, доходить до 70-80 мм на годину. Типовим симптомом М. б., обумовленим гиперпротеинемией, є також аутоагглютинация еритроцитів, яка виявляється в лічильній камері і на звичайних мазках крові.
Електрофоретичні дослідження плазми крові в більшості випадків М. б. виявляють присутність добре вираженою вузькою, гомогенної смуги, найчастіше розташовується в області β, ү або між β і ү (позначається «М»), у нормі не зустрічається (рис. 9). Нерідко при М. б. виявляється криоглобулин - особливий патологічний білок, осаждающийся при низькій температурі (4°) і знову розчиняється при підвищенні її до температури людського тіла (37°).

Рис. 9. Электрофореграммы сироватки здорової людини та хворих мієломної хворобою: 1 - нормальна электрофореграмма; 2 - мієлома з быстродвижущейся патологічної гамма-глобулінової фракції («М»), що розташовується між β і ү; 3 - «ү-мієлома»; 4 - «β-мієлома».
До патологічних білкових тіл, що виявляються при мієломної хвороби, відносяться і микромолекулярные протеїни Бенс-Джонса (див. Бенс-Джонса білок). Білки Бенс-Джонса, як і інші виробляють парапротеиїни, розглядають як специфічний продукт секреції плазматичних клітин. Завдяки своїй малій молекулярній вазі (37 000-42 000) білки Бенс-Джонса проходять через нирковий фільтр і часто виявляються в сечі хворих М. б. (за даними електрофорезу білків сечі).
 Кількісні та якісні зрушення білкової картини крові і сечі при М. б. відображають ступінь гіперплазії і проліферативної активності мієломних клітин.
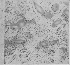
 Зміни нирок при М. б. носять вторинний характер. Патогенетично мієломна нефропатія («мієломна нирка») пов'язана в першу чергу з проходженням через нирковий фільтр патологічних білкових тіл, що утворюються в результаті специфічної секреторної активності мієломних клітин. Таким чином, мієломна нефропатія являє собою справжній «нефроз виділення». Клінічно вона характеризується протеїнурією (див.) при відсутності гематурії, набряків, гіпертонії і ретинопатії. В подальшому розгортається картина ниркової недостатності: олігурія з низькою питомою вагою сечі і прогресуюча азотемія з явищами уремії, аж до розвитку фібринозного перикардиту і коми, завершується летальним результатом. Причиною розвитку уремії (див.) при мієломної хвороби є не стільки зміни клубочкового апарату, скільки порушення сечовиділення по канальцям, буквально забитих білковими масами (рис. 10). Відому роль у зниженні ниркової фільтрації при М. б. можуть грати і внепочечные фактори: артеріальна гіпотонія і гиперонкия плазми (внаслідок гиперпротеинемии). Ці фактори при наявності обтурації канальців нирки патологічними білками можуть призвести до різкої олігурії, аж до повної анурії.
![]() Рис. 10. Парапротеинемічний нефроз при мієломної хвороби: склероз і круглоклеточная інфільтрація (1) интерстиция нирки; просвіти канальців розтягнуті, заповнені білковими масами (2), епітелій атрофичен; 3 - регенерація епітелію звивистих канальців.  | 
    ![]() Рис. 11. Лейкемічного миеломатоз («плазмоклеточная лейкемія»). Велика кількість плазмомиеломных клітин (1) у периферичній крові.  | 
  
 Костномозговое кровотворення при мієломної хвороби відображає ступінь поширення патологічного процесу. Кістковий мозок виявляє широкий діапазон змін - від збереженого кровотворення при невеликій кількості мієломних клітин до тотального заміщення кровотворної паренхіми миеломными елементами. Порушення крові залежать від ступеня ураження кісткового мозку. Тому при вузлуватою формі і особливо при солитарных миеломах зміни крові в початковій стадії розвитку хвороби можуть бути відсутні. Лише у зв'язку з генералізацією процесу або у разі дифузної форми М. б. більша частина активного кісткового мозку виявляється замісної миеломными елементами і розвивається картина прогресуючої анемії. Анемія має нормохромный характер з тенденцією до макроцитозу еритроцитів і рефрактерний до терапії антианемическими засобами.
 Біла кров при мієломної хвороби характеризується помірно вираженою лейкопенією з гранулоцитопенией, іноді зі зсувом вліво до юних форм. В деяких випадках спостерігається сублейкемическая картина крові (лейкоцитоз до 15 000-20 000 зі зрушенням уліво до промієлоцитів) з появою в крові мієломних клітин і нормобластів. Така картина крові, розвивається на останньому етапі хвороби, має несприятливе прогностичне значення, передбачаючи близький летальний результат.
 Від сублейкемической картини крові, властивої термінального періоду М. б., слід відрізняти лейкемическую форму мієломної хвороби, яка характеризується картиною «плазмоклеточной лейкемії» (рис. 11) і відзначається при дифузних ретикулоплазмоцитозах, а також при тих плазмоцитозах, де поряд з кістковим мозком процес значно поширений в печінці, селезінці, лімфатичних вузлах.
 Кількість кров'яних пластинок зазвичай трохи знижено; у випадках тотального ураження кісткового мозку з зникненням мегакаріоцитів розвивається різка тромбоцитопенія, ускладнена геморагічним діатезом.
 Кровоточивість при М. б. пов'язана в основному з тромбоцитопенією та порушенням згортання крові. Відому роль у походженні геморагічних явищ при М. б. приписують фактору гиперпротеинемии. Вважають, що патологічні глобуліни зв'язують іони кальцію і цим порушують конверсію фібриногену у фібрин. Певне значення має і ураження печінки, що веде до порушення протромбине - і фибриногенообразования.
 Протягом мієломної хвороби повільне, неухильно прогресуюче. Середня тривалість життя хворих (від перших клінічних симптомів) від 2 до 4 років, в окремих випадках до 8-10 років і більше.


