Мієломна хвороба (синонім: хвороба Рустицкого, мієлома, миеломатоз, ретикулоплазмоцитоз) - це системне захворювання, близьке до лейкозам, що відноситься до групи ретикулезов. Мієломна хвороба зустрічається рідко, виникає у 50-60-річному віці, частіше у чоловіків. Етіологія неясна.
Основною ознакою хвороби є ураження кісткової, кровотворної, сечовидільної систем і порушення білкового обміну. Спочатку з'являються болі в кістках грудної клітки, хребта, кульшових та ін. Далі відбувається їх деформація і спонтанні переломи. При рентгенографії уражених кісток виявляють дефекти округлої форми, переважно в черепі, ребрах і тазових кістках. В крові - гіпохромна анемія, лейкопенія, тромбоцитопенія. До пункту ті кісткового мозку - велика кількість плазматичних і ретикулярних клітин. Порушення білкового обміну проявляється гиперглобулинемией. Наслідком порушення білкового обміну є ураження нирок нефротичного характеру з наявністю великої кількості білка і циліндрів у сечі, а в подальшому може розвинутися недостатність функції нирок аж до уремії. Іноді в сечі виявляють Бенс-Джонса білок (див.). Прогноз несприятливий.
Лікування проводять в стаціонарі. Застосовують сарколізин, циклофосфан та ін в поєднанні з кортикостероїдами, вітамінотерапію.
Мієломна хвороба (від грец. myelos - мозок; синонім: хвороба Рустицкого, мієлома, миеломатоз, ретикулоплазмоцитоз) - системне ураження переважно кісток скелета, що характеризується проліферацією за пухлинного типу ретикулоплазматических клітин кісткового мозку та деструктивними змінами в кістках з схильністю до спонтанних переломів. Мієломна хвороба - системне захворювання, близьке до лейкозам, що відноситься до групи ретикулезов.
Хворіють М. б. зазвичай у 50-60-річному віці. Зустрічається нечасто. У зв'язку з поліпшенням методів діагностики (пункція кісткового мозку, рентгенографія кісток, електрофорез білків плазми і сечі) М. б. стала діагностуватися значно частіше.
Розрізняють наступні форми М. б.: солітарні мієломи (кісткова і внекостная локалізація), множинні вузлуваті мієломи і дифузний миеломатоз. Дифузний миеломатоз (дифузна форма мієломної хвороби) розвивається шляхом пухлинної гіперплазії ретикулярних плазматичних елементів кісткового мозку. Системний, генералізований характер захворювання виявляється особливо чітко при формах, що протікають по лейкемическому типу (так званий плазмоклеточный лейкоз). При множинних вузлуватих миеломах (вузлувата форма М. б.) поряд з окремими пухлиноподібними розростаннями відзначається більшою чи меншою мірою дифузна ретикулоплазматическая метаплазія кісткового мозку. Крім класичної костномозговой форми М. б., існує «вісцеральна» її форма, при якій поряд з ураженням кісткового мозку є велика мієломна інфільтрація внутрішніх органів і лімфатичних вузлів.
Патоморфологическим субстратом мієломної хвороби є ретикулярні плазматичні клітини кісткового мозку, лімфатичних вузлів, селезінки, печінки та ін. На гістологічних зрізах мієломних вузлів, як і в препаратах кісткового мозку, отриманих шляхом пункцій або трепанобиопсии кісток, виявляються характерні «миеломные клітини» - своєрідні, зазвичай великі плазматичні і ретикулярні клітини. Різноманіття морфологічних картин, властивих М. б., обумовлено різними стадіями розвитку і різним ступенем малігнізації (злоякісної трансформації) ретикулярних плазматичних клітин (рис. 1-6).
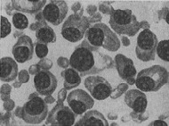
![]() Рис. 1. Стернальный пунктат при мієломної хвороби: плазмомиеломная метаплазія  | 
    ![]() Рис. 2. Мієлома черепа (гістологічний зріз): плазмомиеломные клітини.  | 
    ![]() Рис. 3. Мієломна хвороба: одне - і двоядерні миеломные клітини.  | 
  
![]() Рис. 4. Солітарна мієлома (пунктат пухлини).  | 
    ![]() Рис. 5. Плазмомиеломные клітини периферичної крові.  | 
    ![]() Рис. 6. Двуядерная плазмомиеломная клітка в крові.  | 
  
 Дослідження за допомогою електронного мікроскопа виявляють структурну спільність мієломних і типових плазматичних клітин, що характеризуються комірчастою («пінистої», рис. 3) структурою цитоплазми (эргастоплазма). Структурні особливості мієломних клітин відображають властиву їм секреторну функцію. Продуктом секреції злоякісно трансформованих плазматичних, resp. мієломних клітин є патологічні білкові молекули, що відносяться до фракції глобулінів,- так звані виробляють парапротеиїни. 
 Патологічна анатомія. М. б. характеризується системною проліферацією в кістковому мозку ретикулоплазматических (мієломних клітин і деструктивними змінами в кістках. Уражаються головним чином кістки черепа, таза, хребці, грудина, ребра, рідше довгі трубчасті кістки. Кістки стають м'якими, крихкими; можуть виникати спонтанні переломи, деформація грудної клітки, сплющення тіл хребців зі сдавленней спинного мозку.
![]() Рис. 6 і 7. Мієломна хвороба; на розпилі хребта (рис. 6) і стегна (рис. 7) видно розростання пухлинної тканини рожево-жовтого або рожево-білого кольору.  | 
            
 При множинній вузлуватою мієломі (вузлувата форма мієломної хвороби) розростання мієломної тканини протікає з утворенням множинних вузлів округлої форми різної величини (від 0,5 до 5 їжак в діаметрі), білого, сіро-червоного кольору, м'якої консистенції (цветн. рис. 6 і 7); іноді вузли містять крововиливи, вогнища неврозів. В області вузлуватих розростань відзначається руйнування кісткової тканини. В деяких випадках має місце проростання в навколишні м'які тканини.
 Рідше зустрічається дифузний миеломатоз, коли дифузне розростання мієломних клітин не супроводжується розвитком вузлів. При цій формі тканина кісткового мозку на розрізі має строкатий вигляд, містить рожево-білі, сіро-червоні поля, спостерігається дифузний остеопороз; в рідкісних випадках розсмоктування кісткової тканини є незначним. При гістологічному дослідженні кісткового мозку виявляють розростання ретикулярних клітин різної величини і форми, часто плазматического типу з базофильной цитоплазмою, багатою РНК; зустрічаються гігантські багатоядерні клітини. В області розростань завжди виявляється ніжна мережа аргірофільних волокон (рис. 7).
![]() Рис. 7. Миеломный вузол в кістковому мозку з вираженою мережею аргірофільних волокон (імпрегнація сріблом за Футу).  | 
    ![]() Рис. 8. Вузлуватий інфільтрат з плазматичних і ретикулярних клітин в печінці при мієломної хвороби.  | 
  
 Відповідно різної зрілості проліферуючих клітин виділяють диференційовані і недиференційовані мієломи (ретикулоплазмоцитомы). Перші складаються з атипових плазматичних клітин однорідної будови. Другі характеризуються розростанням незрілих елементів і, за даними А. В. Струкова, мають кілька різновидів: мелкоклеточную (лимфоцитоподобную), крупноклеточную і полиморфноклеточную. Р. А. Алексєєв виділяє ретикулоплазмоцитомы, плазмобластомы і плазмоцитоми (проплазмоцитомы). У зв'язку з розшифровкою генезу мієломних клітин поділ миелом на миелобластому, миелоцитому, эритробластому, лимфоцитому, прийняте раніше в літературі, тепер майже повністю залишено. В даний час встановлено, що вироблення парапротеинов пов'язана з функцією мієломних клітин.
 У більшості випадків мієломної хвороби спостерігається виражене пазушне (А. В. Русаков) і гладке розсмоктування кісткової тканини, рідше зустрічається лакунарна резорбція кісткової речовини. В результаті руйнування кісток в ряді органів і тканин (нирки, легені, судини тощо) відкладаються фосфорно-вапняні маси за типом метастатичного звапнення. У деяких випадках мієломної хвороби поряд з розсмоктуванням спостерігається осередкове новоутворення кісткового речовини примітивної будови, переважно у області мікропереломів і крововиливів. Відкладення остеоїду і вогнищеві остеосклерозы відзначені також в ділянках мієломних розростань при лікуванні М. б. сарколізіном (В. А. Авдєєва).
 Поряд з ураженням кісткового мозку вогнищева або дифузна інфільтрація нерідко виявляється у лімфатичних вузлах, селезінці, печінці (рис. 8), рідше в мигдалинах, нирках, ендокринних залозах, шкірі. У деяких випадках, що протікають зазвичай з лейкемічні картиною крові, спостерігається масивна інфільтрація внутрішніх органів із збільшенням їх обсягу; можливий розвиток вузлуватих розростань. Наявність при мієломі генералізованого системного процесу дуже зближує її з лейкозами, а серед них за характером клітинних розростань - з ретикулезом.
 Основним проявом тканинного парапротеиноза є відкладення амілоїду і парамилоида, що зустрічається в деяких випадках М.б. Парамилоид має фарбувальними властивостями амілоїду, але не дає метахромазии з метиловим фіолетовим. Особливістю амілоїдозу (парамилоидоза) при мієломної хвороби є його значна поширеність. Внаслідок відкладання білкових мас у миеломные вузли в кістках можуть виникати своєрідні амілоїдні пухлиноподібні утворення. Накопичення білкових мас у нирках викликає обтурацію просвітів канальців, їх атрофію, інфільтративно-склеротичні зміни у стромі і веде до розвитку нефроцирроза. У рідкісних випадках у мієломних клітин і внеклеточно в мієломних розростаннях, а також у нирках, судинах, рогівці містяться кристалічні відкладення, походження яких пов'язують з білком Бенс-Джонса.
 Солітарна мієлома зустрічається дуже рідко, характеризується розвитком в якій-небудь кістки одиночного пухлинного вузла, що складається з плазматичних клітин. Порушення білкового обміну зазвичай відсутні. У ряді випадків, довгостроково спостерігалися як солітарна мієлома, наприкінці захворювання виникала генералізація процесу.
 Описані також ізольовані внекостномозговые плазмоцитоми різної локалізації: у верхніх дихальних шляхах, легенях, плеврі, шлунку, шкіри і т. д. У більшості випадків вони тривалий час залишаються локалізованими і мають доброякісний перебіг. Однак відомі спостереження, коли після оперативного видалення пухлини виникали рецидиви з проростанням в оточуючі тканини або через кілька років розвивалася мієломна хвороба. Зрідка внекостномозговая плазмоцитома протікає з диспротеинемическими явищами. 









