Милиарным туберкульоз називають гостру форму гематогенно-дисемінованого туберкульозу, при якій спостерігається висипання дрібних «просоподібних» вогнищ в легенях і інших органах (серозні оболонки, печінка, селезінка, нирки, кісткова система). У випадку занесення мікобактерії в мозок можливе ураження оболонок мозку (див. Менінгіт). Клінічно виявляється три варіанти цієї форми: а) легенева, б) тифоидная і в) менінгеальна.
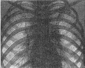
![]() Рис. 2. Міліарний туберкульоз. |
При легеневій формі уражаються головним чином легені (рис. 2). Слід враховувати, що рентгенологічно міліарні вогнища виявляються з 2-3-го тижня захворювання. Аускультативно визначається розлитої бронхіоліт з розсіяними сухими і мізерними вологими хрипами. Спостерігається виражена задишка і ціаноз. Ці ж симптоми характерні і для тифоидной форми, яка по тяжкості течії схожа з черевним тифом. Селезінка при милиарном туберкульозі різко збільшена, м'яка. При менингеальной формі виступають на перший план головні болі при високій температурі і характерні менінгеальні симптоми. Для підтвердження діагнозу менінгіту необхідна спинномозкова пункція.
При цій формі необхідна термінова госпіталізація і тривала хіміотерапія.

