Класифікація
При туберкульозі уражаються різні органи. Але в 90% випадків процес локалізується в легенях.
VII Всесоюзний з'їзд фтизіатрів (1964) прийняв клінічну класифікацію туберкульозу.
А. Основні клінічні форми туберкульозу
Група I - туберкульоз органів дихання (див. Туберкульоз легенів).
Група II - туберкульозна інтоксикація у дітей і підлітків.
Група III - туберкульоз інших органів. Туберкульоз кісток і суглобів. Туберкульоз периферичних лімфатичних вузлів. Туберкульоз шкіри та підшкірної клітковини. Туберкульоз мозкових оболонок центральної нервової системи. Туберкульоз очей. Туберкульоз кишечника, очеревини і лімфатичних вузлів черевної порожнини. Туберкульоз сечових і статевих органів. Туберкульоз інших органів.
Б. Характеристика туберкульозного процесу
Форми: а) відкриті форми (БК+); б) закриті форми (БК-).
Фази розвитку процесу: а) інфільтрація, розпад, обсіменіння; б) ущільнення, рубцювання, звапнення, розсмоктування.
Бацілловиделеніе: БК+, БК-, БК± (періодичне бацілловиделеніе).
Лабораторні дослідження при туберкульозі
Основним завданням лабораторних досліджень є бактеріологічна діагностика туберкульозу: пряма - шляхом мікроскопічного дослідження патологічного матеріалу; непряма - різними біологічними методами. Досліджуються мокротиння, слиз із гортані, промивні води шлунка і бронхів, відокремлюване з свища та ін.
При мізерному виділення досліджують мокротиння на мікобактерії туберкульозу промивні води шлунка. Для цього хворому вранці натще дають випити 200 мл дистильованої води і тут же товстим зондом рідина витягують з шлунка в стерильний склянку, додають 2-3 мл 0,5% розчину їдкого натру; суміш струшують протягом 5 хв, потім додають 1-2 мл ксилолу або бензину і знову струшують протягом 5-10 хв. Через 30 хв. утворилася в колбі сливкообразное кільце обробляють за тією ж методикою, як і мокротиння.
Техніка дослідження промивних вод бронхів за Я. С. Зобину наступна: вранці натщесерце зрошують через пульверизатор 1% розчином дикаїну (2 мл) мова, слизову оболонку дужок, горла та грушоподібних ямок; через 2-3 хв. в гортань вливають шприцом 1-2 мл 2% розчину дикаїну. Через 2-3 хв. лежить на досліджуваному хворому боці повільно вливають гортанним шприцом на середину підстави мови ізотонічний розчин хлориду натрію в кількості 10 - 20 мл; щоб уникнути проковтування його необхідно тримати висунутий язик хворого марлевою серветкою. В результаті подразнення ізотонічним розчином слизової оболонки бронхів настає підвищена відділення слизу та посилення кашлю. Хворий відкашлює розчин разом зі слизом з глибоких дихальних шляхів у стерильний стаканчик. Протипоказання: захворювання серця і судин, бронхіальна астма.
Бактеріологічний метод дослідження на туберкульоз показовіше бактеріоскопічного, хоча в деяких випадках під впливом хіміотерапії мікобактерії туберкульозу можуть не дати росту на живильних середовищах, у той час як при бактеріоскопії вони виявляються.
Для посіву мокротиння збирають у стерильну баночку або плювальницю після того, як хворий прополощет рот і глотку кип'яченою водою. Після взяття мазка мокротиння з її переливають в товстостінну баночку з намистом або битим склом і гомогенізують енергійним струшуванням. Потім заливають рівною кількістю мокротиння 3-5% розчину сірчаної кислоти, ретельно змішують і центрифугують; обробка мокротиння сірчаною кислотою повинна тривати протягом 20 хв., з них 10 хв. займає центрифугування. Після цього надосадову рідину зливають в дезінфікуючий розчин, а осад засівають в 3-4 пробірки з яєчної середовищем.
Посів спинномозкової рідини, сечі, ексудату, промивних вод шлунка і бронхів. Спочатку матеріал центрифугують і осад засівають на яєчні середовища, причому якщо матеріал не містить вторинної флори (спинномозкова рідина, серозний ексудат), попередньої обробки не потрібно.
Біологічний метод діагностики туберкульозу. При негативних результатах бактеріоскопії і посіву вдаються у разі необхідності до дослідів на тваринах. Цей метод дає можливість визначити в досліджуваному матеріалі життєздатні і вірулентних мікобактерій туберкульозу. Опрацювання матеріалу проводиться так само, як і для посіву, але тут потрібно більш ретельне відмивання осаду від слідів сірчаної кислоти ізотонічним розчином (двічі) з подальшим центрифугуванням. Потім отриману емульсію вводять в кількості 0,5-2 мл морській свинці в область паху. Якщо тварина не загине, то через 3-5 місяців його забивають і секційний матеріал піддають патологоанатомічному дослідженню на туберкульоз.
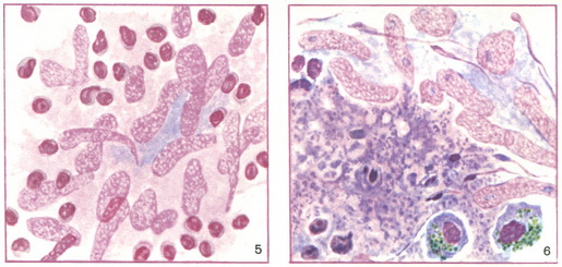
Цитодиагностика туберкульозу. Методом аспіраційної біопсії (див.) можна отримувати матеріал з лімфатичного вузла, кісткового мозку, легенів і інших паренхіматозних органів, готувати мазки і після попереднього забарвлення вивчати під мікроскопом.

Рис. 5. Пунктат шийного лімфатичного вузла при туберкульозі; туберкульозний горбик з епітеліоїдних клітин, оточених лімфоцитами. Рис. 6. Пунктат печінки при туберкульозі; казеозний детрит, в якому видно поодинокі лімфоцити і розпадаються нейтрофіли; вгорі - групи епітеліоїдних клітин; внизу - дві печінкові клітини, що містять білівердин.
