Тканина - історично сформована структура клітин і позаклітинного живої речовини, що володіє певними морфофункціональними властивостями, притаманними тільки даному виду тканини.
Органічне морфофункціональний єдність організму досягається лише при взаємодії всіх тканин.
В організмі розрізняють чотири типи тканин: 1) епітеліальну, 2) сполучну, 3) м'язову і 4) нервову.
Епітеліальна (прикордонна) тканина. До епітеліальної тканини відносяться епітеліальні клітини, що вистилають поверхню тіла, слизові оболонки всіх внутрішніх органів і порожнин організму, а також формують залози зовнішньої і внутрішньої секреції. Епітелій, що вистилає слизову оболонку, розташований на базальній мембрані, а внутрішньою поверхнею безпосередньо звернений до зовнішнього середовища. Його живлення відбувається шляхом дифузії речовин і кисню з кровоносних судин через базальну мембрану. За формою клітин (рис. 7)
розрізняють епітелій плоский (шкіра), кубічний (капсула клубочка нирки), циліндричний (кишечник), по числу шарів - одношаровий і багатошаровий. Якщо всі епітеліальні клітини досягають базальної мембрани, це одношаровий епітелій, а якщо з базальною мембраною пов'язані тільки клітини одного ряду, а інші вільні,- це багатошаровий. Одношаровий епітелій може бути однорядними і багаторядним, що залежить від рівня розташування ядер. Іноді одноядерний або багатоядерний епітелій має миготливі війки, звернені в зовнішнє середовище.

7. Схема будови різних видів епітелію (по Котовському). А - одношаровий циліндричний епітелій; Б - одношаровий кубічний епітелій; В - одношаровий плоский епітелій; Р - багаторядний епітелій; Д - багатошаровий плоский неороговевающий епітелій; Е - багатошаровий плоский зроговілої епітелій; Ж - перехідний епітелій при розтягнутій стінці органу; Р1 - при спавшейся стінці органу.
Сполучна тканина. Дуже різноманітна за будовою, але всі різновиди сполучної тканини розвиваються з мезенхіми (середній зародковий листок). До сполучної тканини відносять кров і кровотворна тканина, лімфатична тканина, кісткова тканина, хрящова тканина, волокниста сполучна тканина. Ось чому, враховуючи різноманітність будови різновидів сполучної тканини, їх називають тканинами внутрішнього середовища.

8. Формені елементи крові (за В. Р. Єлисєєва).
1 - еритроцит; 2 - сегментоядерный нейтрофільний лейкоцит; 3 - паличкоядерних нейтрофільний лейкоцит; 4 - юний нейтрофільний лейкоцит; 5 - еозинофільний лейкоцит; 6 - базофильный лейкоцит; 7 - великий лімфоцит; 8 - середній лімфоцит; 9 - малий лімфоцит; 10 - моноцит; 11 - кров'яні пластинки (тромбоцити).
 Кров складається з формених елементів - еритроцитів, лейкоцитів, тромбоцитів (рис. 8) і рідкої плазми, в якій містяться імунні тіла, гормони, поживні речовини. Кровотворна тканина знаходиться в червоному кістковому мозку, лімфатична тканина - у лімфатичних вузлах, селезінці, слизовій оболонці кишечнику, печінки, вилочкової залозі та інших органах.
 Волокнисті сполучні тканини, крім клітин, містять проміжне речовина у вигляді еластичних, колагенових, ретикулярних і 
 аргірофільних волокон, укладених основна речовина (рис. 9, 10 11, 12). 

9. Пухка волокниста неоформлене сполучна тканина. 1 - колагенові волокна; 2 - еластичні волокна; 3 - макрофаги; 4 - фібробласти.

10. Щільна оформлена волокниста сполучна тканина.

11. Жирова тканина. 1-жирові клітини; 2-ядро клітини; 3 - колагенові волокна; 4,5 - еластичні волокна.

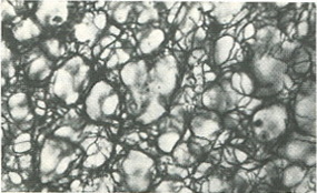
12. Ретикулярні волокна печінки.

13. Кісткова тканина. 1 - кісткові клітини; 2 - проміжна речовина з канальцями кісткових клітин.
Сполучнотканинні волокна є у всіх органах і тканинах, але найбільш значно виражені в тих органах, які відчувають більшу механічну навантаження.
 Кісткова тканина має кісткові клітини (рис. 13), здатні формувати проміжне тверда речовина, що складається з мінеральних солей, і сполучнотканинні волокна.
 Хрящова тканина розділяється на еластичний, гіаліновий та волокнистий хрящі. У каучукоподібний хрящі (рис. 14) проміжне речовина (хондрин) володіє пружними властивостями і містить, крім хрящових клітин, еластичні і колагенові волокна. Волокнистий хрящ також має хондрин, але з великою кількістю колагенових волокон, що робить хрящ більш міцним. Гіаліновий хрящ досить щільний і блискучий, менш міцний, ніж інші види хрящів.
![]() 14. Еластичний хрящ.  | 
                      ![]() 15. Поперечносмугасті м'язові волокна.  | 
                    
                   М'язова тканина. До м'язовим тканинам відносяться поперечносмугасті, гладенькі м'язові волокна і серцевий м'яз, (рис 15, 16). За рахунок м'язів відбуваються скорочення внутрішніх органів, кровоносних судин, переміщення частин тіла. Поперечносмугасті м'язи скорочуються за бажанням людини. Гладкі м'язи і серцевий м'яз входять до складу внутрішніх органів, не підкоряються волі людини і іннервуються частиною вегетативної нервової системи.
                   Нервова тканина. Складається з нервових клітин (нейронів) і нейроглии (рис. 17, 18). Нервові клітини мають різну форму. Нервова клітина має деревоподібними відростками - дендритами, передають подразнення від рецепторів до тіла клітини, і довгим відростком - аксоном, який закінчується на ефекторній клітці. Іноді аксон не покритий мієлінової оболонкою.
 Нейроглія відноситься до нервової тканини і, оточуючи нейроциты (нейрони), являє опорну тканина в нервовій системі.
 Всі тканини володіють певними якостями, закріпленими в філогенезі. Тим не менш можлива часткова перебудова тканини при зміні умов існування.
![]() 16. Гладкі м'язові волокна ендокарда (за Benninghoff). ![]() 17. Гліальні клітини мозку - астроцити (за Clar). 18. Схема будови нервової клітини (за Clar) рис. праворуч: 1 - тіло клітини; 2 - деревоподібні відростки; 3 - нейрит, покритий мієлінової оболонкою; 4 - нервові закінчення; 5 - м'яз.  | 
      
 | 
  



