Висипний тиф (typhus exanthematicus; синонім епідемічний тиф) - гостре інфекційне захворювання, що протікає з токсикозом, ураженням судинної і центральної нервової системи, висип-висипом, характерною температурної кривої.
Етіологія. Збудником хвороби є рикетсії Провацека, які розмножуються в ендотелії судин людини і в епітелії кишечника вошей; швидко гинуть у вологому середовищі і довго зберігаються у висушеному стані (див. Рикетсії).
Епідеміологія. Джерелом інфекції є хвора людина, а переносником - воша, переважно платтяна. Воша заражається при ссанні крові хворого; рикетсії Провацека разом з кров'ю проникають в епітеліальні клітини кишкової стінки комахи, де розмножуються і виділяються в просвіт кишечника. При черговому ссанні крові у вошей одночасно відбувається дефекація і разом з фекаліями виділяється велика кількість рикетсії. На місці укусу виникає свербіж; людина розчісує шкіру і втирає в неї фекалії, містять рикетсії. Насосавшись крові хворого, воша стає заразною на 5-6-й день. Хвора людина заразний з кінця інкубації (останні два дні), весь лихоманковий період і перші 7-8 днів з моменту нормалізації температури. Захворювання найчастіше виникає у помірних широтах у зимово-весняний період. Поширенню інфекції сприяє тіснота, скупченість; має значення і пересування великих груп населення.
Патогенез і патологічна анатомія. Втираемые при почесывании шкіри рикетсії Провацека проникають у кров і розносяться в різні органи і системи. У клітинах ендотелію судин вони посилено розмножуються, останні набухають, в результаті виникає запалення з утворенням тромбоваскулитов і розвитком в подальшому деструкції судин. Однак провідну роль у патогенезі хвороби відіграють не стільки самі рикетсії, скільки виділяється ними токсин. Специфічна риккетсіозних інтоксикація і тромбоваскулиты призводять до порушення діяльності насамперед судинного апарату та ЦНС.
Імунітет. Після висипного тифу залишається стійкий імунітет; однак іноді спостерігаються повторні захворювання з більш легким клінічним перебігом.
Діагноз висипного тифу ґрунтується на сукупності найбільш важливих симптомів: висока наростаюча температура, сильний головний біль, гіперемія і одутлість обличчя, червоні кролячі очі, плями Кіарі - Авцина, енантема, збільшення печінки і селезінки, позитивний феномен «джгута» (виявлення точкових крововиливів в шкірі при накладенні джгута), наявність висипу на 4-6-й день хвороби з характерною її локалізацією та ін; необхідно також враховувати епідеміологічний анамнез.
З лабораторних методів діагностики використовують специфічні реакції: аглютинації (РА) з риккетсиозным антигеном (див. Вейля - Фелікса реакція), пасивної гемаглютинації (РПГА) та зв'язування комплементу (РСК). РА стає позитивною на 4-й день хвороби у більшості хворих висипним тифом. Мінімальним діагностичним титром є 1 : 160 при умові його наростання. РПГА стає позитивною з 3-5-го дня лихоманки і досягає на 2-му тижні високих титрів (1 : 64 000). Мінімальним діагностичним титром є 1 : 1000 за умови його наростання. РСК також специфічна і стає позитивною у більшості хворих висипним тифом з 5-го дня хвороби з подальшим наростанням титрів. Діагностичним титром є розведення 1 : 160.
Диференціювати висипний тиф слід з важким грипом, вогнищевою пневмонією, інфекційним мононуклеозом, черевний тиф, епідемічний менінгіт та ін

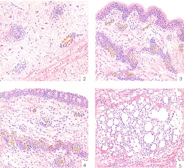
Рис. 2. Сыпнотифозные гранульоми і эндоваскулиты в мозку. Рис. 3. Висипнотифозна екзантема. Васкуліти шкіри. Рис. 4. Сыпнотифозный кон'юнктивіт з васкулітами. Рис. 5. Олеогранулема при висипному тифі.
Прогноз. В останні роки прогноз сприятливий.
