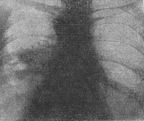
![]() Рис. 4. Еозинофільний інфільтрат легенів. |
Еозинофільний інфільтрат легенів характеризується мало вираженою клінічною симптоматикою. З'являються втома, невеликий кашель, субфебрильна температура. Нерідко виявляють запальні зміни у верхніх дихальних шляхах. В результаті фізичного обстеження (перкусія, аускультація) патологічних змін зазвичай не виявляють. При рентгеноскопії виявляють інфільтративні тіні різної форми і величини (рис. 4), що характеризуються швидким розвитком (1-4 дні) і швидким зникненням (6-8 днів). В периферичній крові при нормальній ШОЕ, іноді невеликому лейкоцитозі визначають значну еозинофілію (10-70%), у мокротинні - зрідка кристали Шарко - Лейдена. Оскільки основною причиною захворювання вважають алергічне стан, необхідно намагатися виявити його причину. При лікуванні зазвичай обмежуються щадним режимом, винятком медикаментів або харчових продуктів, з введенням яких можна зв'язати розвиток эозинофильного інфільтрату легень, призначають десенсибілізуючу терапію.

