Передрак - захворювання, патологічні стани і зміни тканин, що передують раку; при тривалому існуванні можуть переходити в рак. Він не виникає одномоментно, відразу, а є лише останньою ланкою в довгому ланцюзі послідовних змін, обумовлених багатьма як внутрішніми, так і зовнішніми факторами. Передпухлинні зміни часто пов'язані з внутрішніми біологічними причинами, як, наприклад, вадами розвитку, постарінням організму, а також хронічними захворюваннями різних органів. З іншого боку, причиною їх можуть бути різноманітні хімічні канцерогенні речовини, фізичні агенти (ультрафіолетове і радіоактивне випромінювання) або їх поєднання.
Боротьба з передпухлинними процесами необхідна для профілактики раку; головні форми передраку людини твердо встановлені і загальновизнані. До них відносять довгостроково існуючі поліпоз шлунка та товстої кишки, у тому числі і сімейний, старі затяжні бронхіти, хронічні пневмонії, бронхіти, пов'язані з багаторічним курінням тютюну, старі виразки шлунка з ущільненням країв, застарілі вывороты (ектропіон) слизової оболонки матки на грунті глибоких розривів її шийки, розростаються і ороговевающие білі бляшки (див. Лейкоплакія) слизової оболонки порожнини рота, шийки матки та ін., стійкі зміни шкіри після променевої терапії, рубці шкіри після опіків, шкірний ріг, старечі вогнища ороговіння шкіри, папіломи, рубці на ґрунті вовчака (туберкульозу) шкіри і т. д. Прийнято розрізняти облигатный передрак - захворювання, рано чи пізно ведуть до розвитку раку, наприклад хвороба Боуена (див.), сімейний поліпоз товстої кишки, і факультативний передрак - захворювання,
ведуть до виникнення раку, але в невеликій частині випадків (наприклад, каллезная виразка шлунка, фіброзно-кістозна мастопатія).
При вирішенні питання про віднесення того чи іншого патологічного процесу до передраку і про ступінь угрожаемости переходу в рак слід брати до уваги вік хворого, так як можливість виникнення раку з віком збільшується. Повинні бути також враховані хронічний перебіг процесу, сталість тих або інших симптомів, неефективність застосовуваних консервативних методів лікування, рецидиви після клінічного вилікування. Для лікування передракових захворювань успішно застосовуються хірургічні, променеві або лікарські методи, з допомогою яких може бути досягнуте надійне лікування передракових станів. Вчення про передраку виправдало себе на практиці і лягло в основу широко проведених профілактичних оглядів населення СРСР для виявлення і своєчасного лікування передракових станів. Фельдшер повинен при підозрі на передрак направити хворого до лікаря для уточнення діагнозу та лікування і в подальшому направляти його для повторних оглядів згідно з вказівками лікаря.
Передрак (синонім: преканцер, преканцероз) - захворювання, патологічний стан і зміни тканин, які закономірно передують раку і при тривалому існуванні можуть у великому відсотку випадків переходити в рак. У цьому визначенні передрак характеризується з клінічної, патофізіологічної і біохімічної, а також морфологічної точки зору. З морфологічної точки зору передраком можна назвати мікроскопічні, мультицентрично виникають, часто множинні вогнища незапального атипического розростання незрілого епітелію (або, наприклад, фибробластической або остеоїдної тканини - у разі предсаркомы) з нахилом до инфильтративному зростанню, але ще без руйнування тканини.
В онкології міцно закріпилося уявлення про те, що рак (див.) ніколи не виникає раптово і у абсолютно здорових тканинах. Розвиваючись поступово, він є ніби завершальною фазою довгого ряду попередніх йому патологічних процесів - передракових станів.
Термін «передракові захворювання» належить Дюбрейлю (W. Dubreuilh), який у 1896 р. запропонував називати «передраковими кератозами» наступну групу захворювань: старечу кератому, пігментну ксеродерму, мышьяковый кератоз, папіломи шкіри у сажотрусів і працюють з миш'яком, хвороба Педжета. Послідували за повідомленням Дюбрейля численні роботи про передраку довгий час були чисто клінічними. Морфології, не які знаходили морфологічного субстрату для повної характеристики передраку, це поняття довго не визнавали. І тільки з розвитком експериментальних онкологічних досліджень вони отримали можливість детально простежити зміни, які зазнає нормальна тканина при своєму перетворенні на рак, встановити ряд загальних закономірностей передраку. Експериментальні онкологічні дослідження вклали конкретний зміст в поняття про передраку.
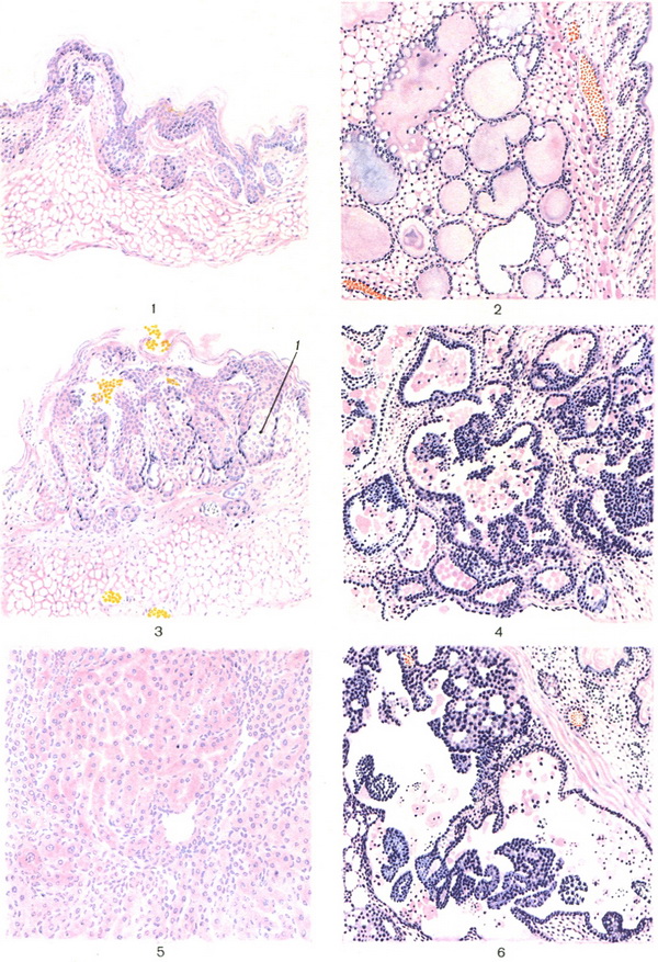
До передракових захворювань людини відносять лейкоплакії (див.) слизової оболонки порожнини рота і стравоходу (рис. 1), эритроплазию (див.) шкіри, аденоматозні поліпи шлунка і товстого кишечника, внутрикистные і внутрішньопротокові папилломатозные та аденоматозні розростання при фіброзно-кістозної мастопатії (рис.2), папіломи сечового міхура (рис. 3), довгостроково незагойні ерозії шийки матки з атипическими розростаннями епітелію, а також так звані доброякісні пухлини, які можуть малігнізуватися, наприклад аденоми нирок (рис. 4).
Можливість отримати в експерименті та докладно вивчити рак шкіри, легень, печінки, нирок, молочних залоз, сечостатевих органів і т. д., а також сарком різного виду і локалізацій дозволила встановити ряд загальних закономірностей передраку.
У розвитку злоякісних пухлин Л. М. Шабад розрізняє чотири стадії:
1) нерівномірне дифузну гіперплазію,
2) вогнищеві иролифераты, 3) відносно доброякісні пухлини і 4) злоякісні пухлини.
Для нерівномірної дифузної гіперплазії (першої стадії) характерна невідповідність морфологічної будови функціональним значенням. Так, наприклад, під впливом тривалого введення естрогенних гормональних препаратів, що викликають в організмі порушення гормонального режиму, в молочній залозі спостерігаються гіперплазія епітелію і галактостаз, але без лактації (цветн. рис. 2). Надалі на тлі такої дифузної нерівномірною гіперплазії виникають зазвичай мультицентрично численні мікроскопічні вогнища розростання незрілих малодиференційованих однорідних клітин - стадія (друга) вогнищевих розростань, або нодозных проліфератов. Вони можуть бути різної локалізації і будови залежно від органу або тканини, в яких вони виникають (цветн. рис. 1, З і 4). Поступово збільшуючись, нодозные проліферати виростають і утворюють відокремлену від навколишньої тканини вузол, який можна назвати пухлиною (цветн. рис. 5 і 6).

Рис. 1. Нерівномірна гіперплазія епітелію шкіри миші, що піддавалися змазування канцерогенним вуглеводнем. Рис. 2. Дифузна нерівномірна гіперплазія молочних залоз у щурів в результаті введення великих доз сінестрол. Рис. 3. Вогнищевий пролиферат покривного епітелію і сальних залоз (1) в шкірі миші, яку змащували канцерогенним вуглеводнем. Рис. 4. Початкові вогнищеві розростання епітелію молочних залоз щура, яка отримувала великі дози сінестрол. Рис. 5. Невелика аденома печінки миші, експериментально викликана про-аминоазотолуолом. Рис. 6. Папилломатозные розростання всередині кіст молочної залози щура, викликані синэстролом.
Зростання пухлини при цьому зазвичай експансивний, і тому її можна умовно назвати доброякісної (третя стадія). В подальшому пухлина починає інфільтрований і руйнувати навколишні тканини і переходить у злоякісну, тобто з третьої стадії в четверту.
Іноді вогнищеві проліферати набувають здатність до инфильтративному і деструирующему зростання і безпосередньо переходять в злоякісні пухлини. У цих випадках стадії умовно доброякісної пухлини не спостерігається.
Доброякісні пухлини можуть мати різні потенції росту і різну долю. В одних випадках це повільно зростаючі і порівняно мало змінюються новоутворення, які протягом багатьох років і навіть усього життя людини чи тварини залишаються доброякісними. В інших випадках вони являють собою з самого початку лише транзиторні доброякісні новоутворення і порівняно швидко озлокачествляются.
Таким чином, передраковими можна називати ті зміни, які можуть безпосередньо переходити в рак (деякі вогнищеві проліферати і так звані доброякісні пухлини). Разом з тим нерівномірну дифузну гіперплазію можна називати не передрак, а предопухолевым зміною, слідом за яким ймовірно розвиток доброякісної пухлини. Кожен рак має свій передрак, але далеко не кожен передрак переходить у рак.
Поряд із загальними змінами, характерними для всіх видів і локалізацій передраку, існують і особливості, що відрізняють кожен П., що дозволяє виділяти особливі нозологічні одиниці П., окремі захворювання.
Всі види передракових змін можна розділити на дві групи: 1) П., що виникає на місці первинного нанесення канцерогенного агента в тканинах і органах, безпосередньо відкритих для агентів зовнішнього середовища; 2) П., що виникає далеко від місця нанесення первинного канцерогенного агента в так званих закритих тканинах і органах. До першої групи відносяться, наприклад, передракові зміни шкіри, шлунка, легенів. До другої - дисгормональні передракові зміни, передрак, що виникає в печінки при експериментальному канцерогенезі, і т. п. Основною відмінністю цих двох груп є наявність в першій і відсутність у другій запального процесу. Можливість відсутності запалення при канцерогенезі (див.) дозволяє стверджувати, що воно не може вважатися необхідною ланкою в ланцюзі явищ, що ведуть до раку, тобто не має передракового значення.
Як показали численні експерименти, а також і окремі клінічні спостереження, передпухлинні та передракові зміни на відомому етапі можуть зупинитися у подальшому розвитку і навіть піддатися інволюції. Це відноситься, наприклад, до дисгормональным гиперплазиям і пролифератам молочних та передміхурової залоз, до папилломам шкіри і т. д. Оборотність передракових змін є основною відмінністю передраку від раку. Регресія передракових змін спостерігається зазвичай при дії слабких канцерогенних агентів, при низькій дозі або при припиненні канцерогенної дії. Можливість регресії передракових змін свідчить, що лікування їх реально.
Поряд з морфологічними був виявлений і ряд функціональних змін, що передують появи ракової пухлини, притому не тільки на місці її виникнення, але й у віддалених тканинах і органах. Останні стосуються порушень гормонального балансу, обміну речовин, білкового і тісно пов'язаного з ним обміну нуклеїнових кислот, а також вуглеводного обміну (Н. Е. Кавецький, В. М. Нейман). Описані також зміни різних відділів ЦНС і вищої нервової діяльності. Вважається, що в передраковий періоді, як і на ранньому етапі розвитку раку, переважають процеси збудження, а в подальшому - процеси гальмування. У світлі цих нових даних поняття передраку набуло конкретний зміст, хоча повністю вона ще не розкрита ні з клінічної, ні з морфологічної точки зору. Багато морфології все ще продовжують стверджувати, що оскільки навіть для цілком розвиненою ракової клітини не існує абсолютно достовірних критеріїв злоякісності, то навряд чи можуть існувати морфологічно визначаються зміни клітин і тканин, які можна було б вважати достовірними попередниками раку [Бюнгелер (W. Biingeler)].
Згідно з рішенням II Всесоюзній онкологічної конференції (1958) запропоновано в широкому клінічному понятті передраку розрізняти дві фази - «фоновий процес» як ранню фазу і власне передрак. До ранньої фазі слід відносити всю групу передракових захворювань. Власне ж П. - лише виявлені на тлі кожного з цих захворювань вогнищеві, нерідко множинні проліферати у вигляді папілярних, аденоматозних або солідних розростань.
У залежності від частоти, з якою на ґрунті того чи іншого передракового захворювання або стану виникає рак, розрізняють облигатный передрак, кожен випадок якого закономірно перетворюється на рак, якщо не будуть прийняті відповідні лікувальні і профілактичні заходи, і факультативний П., який відносно часто, але не обов'язково переходить у рак. До облігатним предракам відносять: пігментну ксеродерму, шкірний ріг, сімейний поліпоз товстої кишки, хвороба Боуена (рис. 5) і хвороба Педжета. Однак останні дві форми більшість авторів відносить не до П., а до внутриэпидермальному раку.
Оскільки передрак являє собою не стабільну патологічну форму, а процес у динамічному його розвитку, він не має особливої клінічної картини. Симптоматика його в основному відображає клініку відповідного фонового процесу. І тільки тривалість захворювання і його прогресування, недостатня ефективність лікувальних заходів, рецидивування після досягнутого клінічного вилікування дозволяють говорити в кожному подібному випадку про П. у вузькому сенсі
слова. На тих же підставах і час переходу передраку в рак не піддається точному обліку. Але все ж на підставі досвіду можна вважати, що при поверхневих формах П , доступних огляду і пальпації, всякі нові, безпричинні зміни, що відбулися у стані П. (помітне зростання стаціонарного освіти, збільшення його розмірів як по поверхні, так і в глибину, ущільнення і особливо поява на його поверхні загоюються ерозій, виразок або бородавчастих розростань), треба вважати підозрілим щодо переходу в рак. І чим більш наполегливі і прогресивні ці зміни, тим більш обґрунтованими стають підозри.
Точно так само при передракових захворюваннях внутрішніх органів підозрілим на початок малігнізацію слід вважати появу у звичайній клінічній картині захворювання нових функціональних розладів: невмотивованої загальної слабкості, швидкої стомлюваності, зниження працездатності, а при передракових станах шлунково-кишкового тракту, крім того, поява немотивованої стійкого зниження апетиту, шлункового дискомфорту, безпричинного прогресуючого схуднення, явищ психічної депресії.
Нечіткість і деяка розпливчастість перерахованих клінічних ознак малігнізації передракових процесів підкреслюють недосконалість наших знань про істинної сутності П.
Вивчення передраку в експериментально-морфологічному аспекті сприяє розкриттю патогенезу пухлин. Зокрема, воно показує поступове їх розвиток, яке повністю вкладається в уявлення про прогресії пухлин.
Разом з тим всебічне дослідження передракових станів і змін сприяє правильній діагностиці і своєчасному виявленню і раціонального лікування цих захворювань, а отже, і профілактики раку. Саме на цій підставі широко проводяться в нашій країні масові профілактичні огляди населення вже дали суттєві результати по зниженню захворюваності і смертності від раку (див. Пухлини).
Рис. 2. Внутрикистная папілома при фіброзно-кістозної мастопатії.
Рис. 3. Папілома сечового міхура.
Рис. 4. Множинні аденоми нирки.
Рис. 5. Хвороба Боуена; нерівномірна гіперплазія епітелію шкіри.
