Макроскопічно ендометріоз може мати форму вузлів, інфільтратів без чітких контурів або кістозних утворень, наповнених геморагічної або густою коричневою рідиною. Розміри вузлів варіюють від величини просяного зерна до декількох сантиметрів у діаметрі. На розрізі у вузлах видно порожнини у вигляді осередків або щілин, наповнених геморагічної або коричневою рідиною. Консистенція вузлів щільна, що пояснюється розвитком навколо вогнищ і гнізд эндометроидной тканини інфільтративно-рубцевих змін в результаті проникнення в тканини менструальноподобных кров'янистих виділень, протеолітичних і ліполітичних ферментів, що виділяються вогнищами ендометріозу, а також продуктів деструкції тканин, що утворюються в зоні активного ендометріозу.
В області перешийка і в стінці тіла матки ендометріоз може мати дифузний характер, але все ж найчастіше вогнища ендометріозу спостерігаються у вигляді вузлів або кістозних утворень. Останні (кістозна форма) зазвичай розвиваються в яєчниках, рідше - у післяопераційних рубцях, пупку, стінки піхви і вульві. Рідко, але все ж спостерігаються кістозні форми ендометріозу матки, маткових труб, в легенях, нирках та стінці кишки.
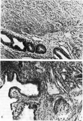
Гістологічна будова ендометріозу характеризується поєднанням залозистого эндометриоподобного епітелію і цитогенной строми. Як і в ендометрії, залози можуть мати форму трубчастих, розгалужених або мелкокистозно додаткових порожнин і вистелені однорядним циліндричним або кубічним епітелієм. Частина епітеліальних клітин має вії. Гістологічна будова ендометріозу матки та стінки піхви представлено на рис. 1, 2.
![]() |
![]() Рис. 1 (ліворуч) Ендометріоз матки (гістологічний препарат); а - в товщі стінки матки: б - кістозна форма
Рис. 2. Ендометріоз стінки піхви (гістологічний препарат). |
Співвідношення залізистих елементів і строми у вогнищах ендометріозу може бути різним. Іноді спостерігаються переважне розвиток строми і наявність одиничних залоз ендометрію або їх повна відсутність. Такі форми стромального ендометріозу можуть викликати утруднення в діагностиці (помилково кваліфікуватися як саркома). Вони схильні до пролиферирующему зростанню і поширенню по лімфатичних шляхах.
Стромальный ендометріоз може поєднуватися з звичайним ендометріозом матки та інших статевих органів. Відомі спостереження поєднання генітального і стромального екстрагенітального ендометріозу (товстої кишки, сальника).
Однією з характерних особливостей ендометріозу є відсутність навколо нього сполучнотканинної капсули. Ця обставина доводиться враховувати під час операцій з приводу ендометріозу. Крім добре виражених і помітних неозброєним оком, а також пальпуємих вогнищ ендометріозу, інфільтрованою і рубцево-зміненої тканини можуть перебувати невеликі ділянки эндометриоподобной тканини з маловыраженными циклічними перетвореннями. Саме з цих ділянок (вузлів) у випадках нерадикального видалення відбувається розростання ендометріозу.
Навколо вогнищ ендометріозу, розташованих в статевих органах і за їх межами, в результаті періодичних менструальноподобных крововиливів і подальшої запальної реакції може утворитися фіброзна тканина, що нагадує сполучнотканинну капсулу. Так буває при кістозній формі ендометріозу легень, коли відсутня дренажна зв'язок з бронхом, і характерного для даної локалізації ураження кровохаркання не спостерігається. Те ж саме може мати місце при кістозній формі ендометріозу яєчників і післяопераційних рубцях.
Наступною особливістю ендометріозу є здатність його до інфільтруючого проникаючому зростання в навколишні органи і тканини з деструкцією останніх, що можна пояснити ферментною активністю ендометріозу, його здатністю виділяти ліполітичні і триполитические ферменти [Баскаков В. П., 1966]. Ендометріоз може вростати в будь-яку тканину, будь-який орган: в стінку кишки, сечовий міхур, сечовід, очеревину, плевру, кісткову тканину. Вростання ендометріозу в стінку м'язового органу (кишки, сечового міхура) супроводжується потовщенням стінки органу за рахунок розростання залоз ендометрію, сполучнотканинної строми і реакції.


