Хронічного миелолейкозу (синонім: мієлоїдний лейкоз, мієлоз, мієлоїдна лейкемія) властиво зміна кровотворення у вигляді гіперпроліферації і порушення диференціації на рівні промієлоцитів і мієлоцитів. В самій початковій фазі захворювання інші ростки кровотворення (за винятком гранулопоезу) можуть розвиватися нормально. По мірі розвитку процесу эритробластический паросток кісткового мозку різко звужується, а гранулоцитарний мієлопоез і мегакариоцитарный паростки розширюються. При цьому лейкозні мієлоїдний інфільтрати виходять за межі кісткового мозку і розвиваються в селезінці і печінці. Мієлоїдна метаплазія в лімфатичних вузлах мало виражена. По мірі прогресування хвороби при розвитку резистентності до сучасних методів лікування все більш проявляється тенденція до дедифференциации мієлоїдних елементів аж до гемоцитобластов і ретикулярних клітин, і тоді процес набуває рис гострого лейкозу - гемоцитобластоза або ретикулеза.
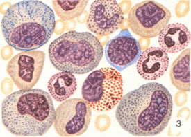
![]() Рис. 3. Периферична кров при хронічному мієлолейкозі до лікування. |
У період початкових проявів хронічного мієлолейкозу хворий почуває себе цілком задовільно, печінка і селезінка не збільшені, анемії немає. Симптоми загальної інтоксикації не виражені. Діагноз встановлюють переважно при випадковому дослідженні крові. Виявляють помірне підвищення кількості лейкоцитів (до 15 000-20 000) зі зрушенням в гемограмі до мієлоцитів. Поступово збільшуються розміри селезінки, розвивається загальна слабкість, періодично підвищується температура. В селезінці розвиваються інфаркти, перисплениты. Розвивається функціональна недостатність печінки, нирок, серця, пов'язана з зміненими умовами харчування та кровообігу, іноді з лейкозною інфільтрацією в цих органах. У крові часто неухильно збільшується кількість лейкоцитів (цветн. табл., рис. 3), в основному незрілих гранулоцитів, наростає анемія, що розвивається в одних випадках гіпертромбоцітоз, в інших - тромбоцитопенія з відповідними ускладненнями.
У окремих хворих число лейкоцитів у периферичній крові за весь період хвороби залишається на сублейкемічні рівні (60 000-75 000). Часто це поєднується з розвитком вогнищевого миелофиброза і різко вираженою спленомегалією. Поступово наростає виснаження внаслідок білкової недостатності та хронічної лейкозною інтоксикації, активуються супутні хронічні інфекції. Ці симптоми характеризують період розгорнутих клінічних проявів хронічного мієлолейкозу, який в подальшому змінюється третім, термінальним періодом, коли клітинна анаплазія виражена максимально, а малігнізація кровотворної тканини досягає меж, майже не сумісних з життям. У переважній більшості органів відбуваються лейкозні розростання, що складаються, як правило, з гемоцитобластов і ретикулярних клітин, резистентних до всіх видів терапії. Склад крові характеризується переважанням серед ядерних форм гемоцитобластов і мієлобластів (владний криз), вираженою анемією і тромбоцитопенією. Пункція кісткового мозку виявляє майже тотальне гемоцитобластное його перетворення. Наростає самоотруєння організму продуктами патологічного клітинного обміну, відзначаються різке виснаження, лихоманка, абсолютна несопротивляемость всіма видами банальної інфекції. Пневмонії, гнійники, туберкульоз, кандидоз стають смертельними для хворих у цьому періоді. Наростають серцево-судинна недостатність, аноксія, кровоточивість. Майже всі види терапії стають неефективними, і хворі гинуть. Середня тривалість життя від моменту виявлення захворювання, за зведеними даними різних авторів, 3 - 3,5 роки; в окремих випадках вона досягає 12 років.
Лікування хворих хронічним мієлолейкозом треба починати, коли ще не цілком розгорнулася клінічна картина захворювання; не слід занадто затягувати період невтручання і чекати вираженого загострення процесу. Найбільш ефективним засобом лікування хронічного мієлолейкозу є міелосан. Добова його доза на початку лікування коливається від 4 до 8 мг (в 2-4 прийоми). Вона залежить від ступеня мієлоїдної метаплазії кісткового мозку і лейкозною інфільтрації органів, що відображається на картині крові (загальна кількість лейкоцитів і відсоток промієлоцитів), величиною селезінки і печінки. У міру поліпшення стану і зменшення числа лейкоцитів дозу міелосана знижують до 4-2 мг на добу, а при досягненні кількості лейкоцитів у крові 10 000-12 000 в 1 мм3 препарат відміняють. Надалі треба старатися так дозувати міелосан, щоб підтримувати рівень лейкоцитів в межах 10 000-20 000 в 1 мм3.
При розвитку рефрактерності до міелосаном при загостренні захворювання можуть бути використані інші хімічні противолейкемические препарати (допа, 6-меркаптопурин), а також рентгенотерапія на область селезінки. Допа рекомендується застосовувати у випадках мієлолейкозу, що протікає з різко вираженою спленомегалією, при відносно невисокому лейкоцитозі. Препарат призначають по 5-10 мг на один прийом з інтервалами в 3-5 і 10 днів в залежності від швидкості зниження лейкоцитозу.
Протипухлинні антибіотики (аурантин, актиноміцин та ін) знайшли вельми обмежене застосування в клініці - в основному як засоби, готують хворих до подальшої рентгенотерапії. Уретан і ембіхін (новоэмбихин) в даний час не застосовуються.
У деяких випадках хронічного мієлолейкозу, коли селезінка досягає колосальних розмірів з повторними інфарктами і периспленитом, а також при ускладненні захворювання дистопией селезінки застосовують спленектомія. При розвитку владних кризів у перебігу хронічного мієлолейкозу терапія проводиться за правилами лікування гострого гемоцитобластоза.

