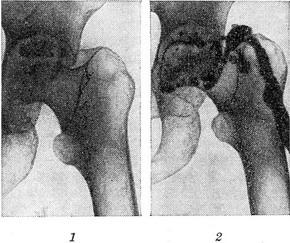
![]() Хронічний гнійний коксит, ускладнився некрозом частини головки стегнової кістки і утворенням свища: 1 - контрольна рентгенограма (до фістулографія); 2 - фистулограмма.  | 
            
Фістулографія - методика рентгенологічного дослідження норицевих ходів шляхом заповнення їх контрастним речовиною з подальшою рентгенографією (рис.). Основним завданням фістулографія є детальне вивчення характеру та напрямки норицевих ходів і їх розгалужень, а також встановлення наявності або відсутності зв'язку між свищуватими ходами і вогнищами деструкції (зокрема в кістках) та сторонніми тілами, секвестрами, абсцесами та іншими порожнинами, розташованими в сусідніх з свищевым ходом органах. Контрастне рентгенологічне дослідження порожнини абсцесу називається абсцессографией.
В якості контрастних речовин при фістулографія зазвичай користуються масляними розчинами органічних сполук йоду (йодоліпол, липийодол) або його водорозчинними сполуками (дийодон, дийодраст, кардиотраст, урографін тощо). При широких норицевих ходах, з яких контрастна речовина може бути легко видалена після фістулографія, користуються олійними та водними суспензіями хімічно чистого сірчанокислого барію.
Перед фистулографией проводять оглядову контрольну рентгенографію досліджуваної області, по можливості в двох взаємно перпендикулярних проекціях. Потім зовнішні краї свищевого отвори змазують 5 - 10% спиртовим розчином йоду і за допомогою шприца відсмоктують вміст свища, після чого вводять контрастну речовину, попередньо підігріте до температури тіла. Якщо процедура болюча, слід проводити її під місцевим знеболенням. Домігшись по можливості тугого заповнення норицевих ходів (без застосування грубого тиску), затискають свищевое отвір марлевим кулькою, витягують канюлю шприца і швидко заклеюють отвір разом з марлевим кулькою липким пластиром або клеолом. Потім проводять рентгенографію в необхідних проекціях, виявляють розташування норицевих ходів, після чого відкривають зовнішній отвір нориці і звільняють свищ від контрастної речовини шляхом відсмоктування, а якщо цього недостатньо, то шляхом промивання фізіологічним розчином хлориду натрію, 2% розчином соди або стерилізованому водою.

