Эндотелиома (endothelioma; синонім: ангиоэндотелиома) - варіант пухлини судинного походження, побудованої з ендотелію кровоносних (гемангиоэндотелиома) або лімфатичних (лимфангиоэндотелиома) судин.
Термін «эндотелиома» використовували раніше надзвичайно широко; сюди відносили цилиндромы, гемангиоперицитомы, гломус-ангіоми, хемодектомы, синовиомы, мезотеліоми, пігментні невуси та ін. По мірі виключення зазначених пухлин цей термін почали вживати значно рідше, а деякі автори поставили під сумнів існування пухлин з ендотелію як высокодифференцированной клітини, Деякі автори розцінювали термін «эндотелиома» навіть як «діагноз незнання» (М. Ф. Глазунов). Останнім часом існування ендотеліальних пухлин не викликає сумніву, однак термін вживається з позначеннями «гемангио» або «лимфангио», що характеризують гістогенез пухлини більш точно. У міжнародній номенклатурі пухлин (ВООЗ) гемангиоэндотелиомы розділені на доброякісні (капілярні ангіоми) і злоякісні.
Доброякісна гемангиоэндотелиома зустрічається досить часто, особливо в шкірі, головним чином на обличчі; іноді буває множинною, переважно у дітей. Дерматологи нерідко позначають капілярну ангиому як судинний невус. Макроскопічно доброякісна эндотелиома являє собою невеликі вузли темно-рожевого кольору, що підносяться над поверхнею шкіри, нерідко изъязвляющиеся і кровоточать. Мікроскопічно пухлина складається з переплетених і анастомозуючих між собою капілярів різного калібру, переповнених кров'ю. Місцями відмічаються ділянки проліферації ендотеліальних клітин, головним чином в просвітах судин.
Доброякісна лимфангиоэндотелиома відрізняється від гемангиоэндотелиомы наявністю сосочкових розростань в просвітах щілин і відсутністю в них еритроцитів.
Массон (P. Masson) описав своєрідний варіант внутрішньосудинної гемангиоэндотелиомы, що характеризується розростанням у просвітах великих судин (гемороїдальні вени, вени малого таза, поліпи носа та ін) гіллястих сосочкових виростів, вистелених ендотелієм, які можуть виконувати весь просвіт судини у вигляді тромбу.
Злоякісні гемангиоэндотелиомы рідкісні. Вони можуть виникати в будь-якому органі та тканини, частіше зустрічаються в носі і горлі. Мають вигляд вузлів блідо-рожевого кольору, щільної консистенції, на розрізі однорідного будови з крововиливами. Мають виражену місцево деструирующим зростанням, здатні давати метастази (головним чином гематогенні, частіше в легені).
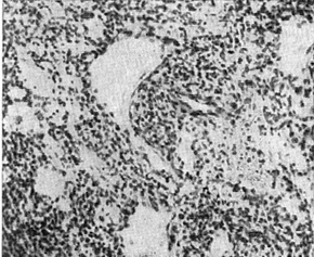
![]() Рис. 1. Злоякісна гемангиоэндотелиома. |
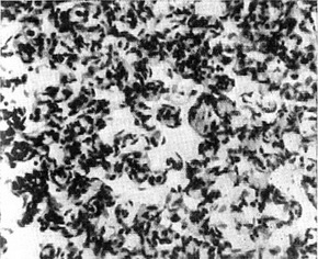
![]() Рис. 2. Злоякісна лимфангиоэндотелиома. |
Гістологічно злоякісні гемангиоэндотелиомы характеризуються розростанням атипових ендотеліальних клітин, місцями з формуванням малодиференційованих судинних структур (рис. 1), подекуди солідного або альвеолярного будови. Клітини круглі, овальні або злегка витягнуті з великими, часто блідими або гиперхромными ядрами. У клітинах багато мітозів. Зустрічаються гігантські багатоядерні клітини. Малодиференційовані гемангиоэндотелиомы надзвичайно важкі для гістологічної діагностики і потребують спеціальних забарвлень, зокрема на аргирофильные волокна.
Злоякісні лимфангиоэндотелиомы надзвичайно рідкісні. Можуть розвиватися в
молочних залозах через кілька років після мастектомії. Мікроскопічно характеризуються наявністю численних, позбавлених еритроцитів щілин і порожнин, вистелених великими атиповими клітинами, місцями утворюють сосочкові структури і солідні поля (рис. 2).
Лікування эндотелиомы хірургічне з наступною променевою терапією злоякісних эндотелиом.


