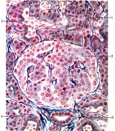
Ендокринна частина підшлункової залози представлена у вигляді окремих острівців (insulae) (рис. 353) в підшлунковій залозі, числом від 300 тис. до 2,5 млн., загальною масою від 0,6 до 1,5 р. Кожен острівець складається з трьох типів клітин, з яких тільки бета-клітини виділяють інсулін, вступник в широкі кровоносні і лімфатичні капіляри, утворюючі клубочки навколо острівців.
Ендокринні острівці розкидані по всій підшлунковій залозі, але більше їх в хвостовій частині. У дорослих кількість острівців в 2 рази більше, ніж у новонароджених.

353. Зріз підшлункової залози людини.
Функція. Острівці виділяють гормон інсулін, що сприяє окислення вуглеводів.
Ембріогенез. Ендокринні острівці розвиваються так само, як і екскреторна частина підшлункової залози, з вентральної і дорсальної нирок епітелію кишкової трубки (див. Розвиток підшлункової залози).
Філогенез. Инсулярные острівці виникли раніше, ніж секреторний відділ підшлункової залози. У нижчих хребетних секреторна і ендокринна частини становлять самостійні утворення. У вищих хребетних обидві частини об'єднуються в підшлункову залозу.